Kirron Kher अभिनेत्री, खासदार किरण खेर यांना ब्लड कॅन्सर; जाणून घ्या भयंकर आजाराची लक्षणं, कारणं आणि उपचार
By ऑनलाइन लोकमत | Updated: April 1, 2021 19:48 IST2021-04-01T18:55:10+5:302021-04-01T19:48:05+5:30
Kirron Kher : भारतातील अनेक रुग्णालयात ब्लड कॅन्सरवर उपचार केले जातात. तज्ज्ञांच्यामते बायोलॉजिकल थॅरेपीच्या साहाय्याने कॅन्सरचे उपचार करता येऊ शकतात.

बॉलिवूड अभिनेत्री तसेच भाजप खासदार किरण खेर (Kirron Kher) यांना ब्लड कॅन्सरने ग्रासले आहे. किरण यांना मल्टीपल मायलोमा असल्याचे निदान झाले आहे. हा एकप्रकारचा ब्लड कॅन्सर आहे. तूर्तास 68 वर्षीय किरण यांच्यावर मुंबईत उपचार सुरु असल्याचे कळतेय. (Kirron Kher suffering from blood cancer). रक्ताच्या कॅन्सरचे प्रकार कोणते असतात. हा कॅन्सर का होतो. याबाबत आम्ही तुम्हाला सांगणार आहोत.

ल्यूकेमिया-
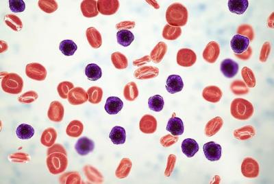
या प्रकारात मज्जसंस्थेत असामान्य रक्ताच्या पेशींची वाढ व्हायला सुरूवात होते. या सेल्समुळे शरीराताली लाल रक्ताच्या पेशी आणि प्लेटलेट्स प्रभावित होतात.

लिम्फोमा
रक्ताच्या कॅन्सरचा दुसरा प्रकार आहे. लिम्फोमा या प्रकारच्या कॅन्सरच्या पेशींचा विकास झाल्यास लिम्फॅटीक सिस्टिम खराब होते. ज्यामुळे शरीरातील अतिरिक्त फ्लूईड बाहेर पडत असतं तसंच रोगप्रतिकारकशक्ती चांगली राहते. लिम्फओसाईट्स एका प्रकारचे व्हाईट सेल्स असतात. ते शरीरात इन्फेक्शनपासून लढण्याचं काम करतात.

मायलोमा-
या प्रकारचा कॅन्सर प्लाज्मा सेल्सवर वाईट परिणाम करतो. हे एक पांढरे सेल आहेत. जे रोगांशी लढत असलेल्या एंटीबॉडीजना निर्माण करण्याचं कार्य करतात. मायलोमामुळे प्लाज्मा सेल्सच्या उत्पादनावर परिणाम होतो. परिणामी रोगप्रतिकारकशक्ती कमकुवत होते. मायलोमा शरीराच्या प्लाझ्मा पेशींमध्ये होतो. या पेशी समान्यपणे अस्थिमज्जामध्ये आढळतात आणि प्रतिरक्षा प्रणालीचा भाग असतात. मायलोमामुळे अस्थिमज्जामध्ये प्लाझ्मा पेशींचा संचय होतो आणि रक्त पेशींच्या उत्पादनावर परिणाम होतो.

लक्षणं-
वजन कमी होणे, रात्री घाम येणे, हाडे किंवा सांध्यातील वेदना, ओटीपोटात अस्वस्थता, डोकेदुखी, श्वसनविषयी दाह.

फुफ्फुसातील दाह, वारंवार संसर्ग, त्वचेला खाज सुटणे किंवा पुरळ उठणे, ताप, थंडी वाजणे. तीव्र थकवा, अशक्तपणा, भूक न लागणे, मळमळ.

कारण
मॅक्स हेल्थ केअरच्या रिपोर्टनुसार एखादी व्यक्ती अनेक कारणांमुळे ब्लड कॅन्सरची शिकार होऊ शकते. अनेकदा अनुवांशिक कारणं असतात. त्यामुळे हा आजार वाढत जातो. रोगप्रतिकारकशक्ती कमी होणं किंवा इन्फेक्शनमुळे हा आजार होऊ शकतो.

उपचार
भारतातील अनेक रुग्णालयात ब्लड कॅन्सरवर उपचार केले जातात. तज्ज्ञांच्यामते बायोलॉजिकल थॅरेपीच्या साहाय्यानं या प्रकारच्या कॅन्सरचे उपचार करता येऊ शकतात.

किमोथेरेपी, बोन मॅरो ट्रांसप्लांटेशन याव्यतिरिक्त रेडिएशन ऑन्कोलॉजी तसंच हेयमॅटो ऑन्कोलॉजीनं या आजाराचे उपचार करता येऊ शकतात.

(Image Credit-Getty Images )

















