हे असं कसं रे भौ! 'त्याच्या' मलाशयात शिरला 16 इंच लांबीचा मासा, उत्तर ऐकून डॉक्टर गेले 'कोमात'...
By ऑनलाइन लोकमत | Updated: June 10, 2020 15:13 IST2020-06-10T15:09:41+5:302020-06-10T15:13:11+5:30
वेदना होत होत्या म्हणून डॉक्टरकडे गेला तर डॉक्टर हा विचार करून हैराण झाले की, मासा आत गेला कसा?

हे असं कसं रे भौ! 'त्याच्या' मलाशयात शिरला 16 इंच लांबीचा मासा, उत्तर ऐकून डॉक्टर गेले 'कोमात'...
जगभरातून अशा काही विचित्र घटना समोर येत असतात ज्या वाचून आश्चर्यचा धक्का तर बसतोच सोबतच बोलतीही बंद होते. नेहमीप्रमाणे अशीच एक विचित्र घटना चीनमधून समोर आली आहे. इथे एका व्यक्तीच्या मलाशयात मासा घुसला. वेदना होत होत्या म्हणून डॉक्टरकडे गेला तर डॉक्टर हा विचार करून हैराण झाले की, मासा आत गेला कसा?

ही घटना आहे चीनच्या गुआंगदोंग प्रांतातील. येथील एक व्यक्ती पोट दुखत होतं म्हणून डॉक्टरकडे गेली. तपासणी केली तर दिसलं की, त्याच्या गुदद्वारात एक संपूर्ण मासा आहे. याबाबत डॉक्टरांनी त्याला विचारणा केली तर त्याने सांगितले की, तो चुकून एखाद्या माश्यावर बसला असेल.

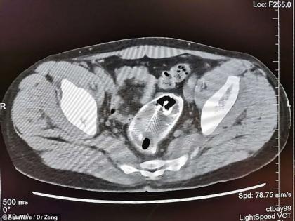
या व्यक्तीचं वय 30 आहे. झाओकिंग पीपल्स हॉस्पिटलमध्ये त्याचं ऑपरेशन करण्यात आलं. यात 16 इंच लांब एक पूर्ण मासा बाहेर काढण्यात आला. व्यक्तीच्या उत्तराने डॉक्टर हैराण आहेत. ते म्हणतात की, कोणतीही व्यक्ती कपड्यांविना माशावर का बसेल? जर तो बसला तरी मासा त्याच्या शरीरात शिरत आहे हे त्याला समजलं कसं नाही. ही घटना चीनमधील सोशल मीडियावर व्हायरल झाली आहे.

डॉक्टरांनी सर्जिकल ऑपरेशन करून मासा काढला. त्यांनी सांगितले की, हा मासा त्याच्या गदद्वारात अनेक दिवसांपासून होता. जर आणखी थोडा उशीर झाला असता तर गंभीर समस्या झाली असती. मासा आतल्या आत सडू लागला होता. त्यामुळे रेक्टमसोबतच पोटातली इन्फेक्शन पसरलं होतं. सध्या ही व्यक्ती ठिक आहे.
काही दिवसांपूर्वी आसाममधून अशीच एक विचित्र घटना समोर आली होती. इथे एका व्यक्तीच्या मूत्राशयातून मोबईल चार्जरचा केबल काढण्यात आला होता. त्याने सांगितले होते की, त्याने चुकून ही केबल खाल्ली. डॉक्टर Wallie Islam यांनी याबाबत त्यांच्या फेसबुकवर पोस्ट केली आहे. यात त्यांनी ऑपरेशनचा व्हिडीओ आणि फोटो शेअर केले आहेत. त्यांनी सांगितले की, 'जेव्हा आम्ही त्या व्यक्तीचं ऑपरेशन केलं तेव्हा त्याच्या गॅस्ट्रोइंटेस्टाइनल ट्रॅक्टमध्ये काहीच आढळून आलं नाही'.
बाप रे बाप! नशेत 'त्याने' केलेला कारनामा पाहून डॉक्टर हैराण, तुमचीही बोलती होईल बंद....