तुमच्या हाडांमधून आवाज येतो का? 'या' आजाराचा असू शकतो संकेत.....
By ऑनलाइन लोकमत | Updated: February 2, 2021 10:55 IST2021-02-02T10:46:25+5:302021-02-02T10:55:09+5:30
४० पेक्षा जास्त वय लोकांमध्ये याचा धोका अधिक असतो. त्याशिवाय महिला आणि जास्त वजन असलेल्या लोकांमध्येही याचा धोका अधिक राहतो.

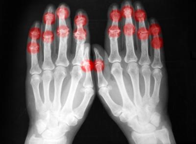
जॉइंट आपल्या शरीराचा असा भाग आहे जिथे दोन किंवा त्यापेक्षा अधिक हाडे एकमेकांना मिळतात. जसं की, कंबरेच्या हाडाचं असतं. इथे मांडीच्या हाडाचा वरचा भाग पेल्विसच्या सॉकेटमध्ये फिट असतो. जॉइंटमधील हाडे एक लवचिक पण मजबूत कार्टिलेजने कव्हर असतात. त्यामुळे ही हाडे एकमेकांना न घासता मुव्ह करतात.

ऑस्टिओआर्थरायटिस जॉइंटमधील हाडांवरील कार्टिलेजचा हा थर कमजोर करतं. त्यामुळे आपल्या जॉइंटचा सरफेस रफ होतो. याकारणाने जॉइंटममध्ये सूज, वेदना आणि ताण निर्माण होतो. पण ही लक्षणे प्रत्येक व्यक्तीत दिसत नाहीत.

'आर्थरायटिस हेल्थ'नुसार, जेव्हा आस्टिओआर्थरायटिसचा विषय येतो तेव्हा याची लक्षणे व्यापक रूपाने वेगवेगळी असू शकतात. जॉइंट हलवताना किंवा मुव्हमेंट होत असताना यातून आवाज येऊ लागतो. हा हाडे एकमेकांना भिडत असल्याचा संकेत आहे. मेडिकलच्या भाषेत याला क्रेपिटस म्हणतात.

पण आर्थरायटिस कोणत्याही इतर लक्षणाशिवाय केवळ लक्षणावरून ओळखला जाऊ शकत नाही. क्रेपिटसशिवाय इतर काही लक्षणे जसे की, जॉइंटमध्ये वेदना ऑस्टिओआर्थरायटिसचं संकेत असू शकतो.

जॉइंटमध्ये ताण जास्तकरून सकाळच्या वेळी किंवा इनॅक्टिविटी पिरिअडनंतर ऑस्टिओआर्थरायटिसची वॉर्निंग साइन असू शकते.

या प्रभावित जॉइंट्सची गतीही हळूवार होऊ शकते. ब्रिटनमध्ये आर्थरायटिसबाबत लोकांना जागरूक करणारी संस्था 'वर्सज आर्थरायटिज'चं मत आहे की, अनेक प्रकारच्या स्थितीत एक व्यक्ती ऑस्टिओआर्थरायटिसचे शिकार होऊ शकतात.

४० पेक्षा जास्त वय लोकांमध्ये याचा धोका अधिक असतो. त्याशिवाय महिला आणि जास्त वजन असलेल्या लोकांमध्येही याचा धोका अधिक राहतो.

त्यासोबतच जर एखाद्या व्यक्तीला आधी कधी जॉइंटची इंजरी झाली असेल किंवा एखादी व्यक्तीचे जॉइंट जन्मापासूनच असामान्य असेल तर त्यांना याचा धोका जास्त असतो. वर्सज आर्थरायटिसनुसार, जीन्स हेही हात, गुडघे आणि कंबरेवर ऑस्टिओआर्थरायटिसचं कारण ठरू शकतात. ऑस्टिओआर्थरायटिसचे काही रूप सिंगर जीनच्या म्यूटेशन्ससोबतही जुळले असतात. जे कॉलेजन नावाच्या एका प्रोटीनला प्रभावित करतात.

ऑस्टिओआर्थरायटिसची लक्षणे प्रगतीशील नसतात. म्हणजे हे काळानुसार अधिक होत जात नाहीत. मुळात ऑस्टिओआर्थरायटिसमध्ये सर्वात जास्त वेदना तुमच्यात लक्षण दिसल्यावर अनेक वर्षांनंतरही होऊ शकते. लक्षण समोर आल्यानंतर काही वर्षांनी आधीसारखीच समान राहू शकते किंवा त्यात सुधारही होऊ शकतो.

एक्सपर्ट सांगतात की, फिजिकल एक्सरसाइज, वेट लॉस, मेडिकेशन आणि पेनफुल रिलीफ ट्रीटमेंटच्या माध्यमातून यावर उपचार केले जातात. उदाहरण द्यायचं तर ऑस्टिओआर्थरायटिसच्या काही रूग्णांना हायएल्यूरॉनिक अॅसिड इंजेक्शन दिलं जातं. हे एक असं फ्लूड आहे जे जॉइंटमध्ये नॅच्युरली आढळून येतं.

















