धक्कादायक! व्यक्तीच्या मेंदुत सापडली टेपवर्मची अंडी, जाणून घ्या यामागचं कारण...
By ऑनलाइन लोकमत | Updated: March 15, 2024 08:30 IST2024-03-15T08:28:56+5:302024-03-15T08:30:00+5:30
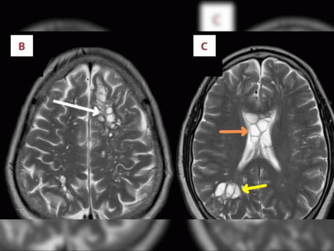
स्कॅनमधून समोर आलं की, पीडित व्यक्तीच्या मेंदुमध्ये टेपवर्मचा लार्वल सिस्ट आहे जो सिस्टिसिरोसिस (Cysticercosis) आजाराचं कारण ठरला.

धक्कादायक! व्यक्तीच्या मेंदुत सापडली टेपवर्मची अंडी, जाणून घ्या यामागचं कारण...
Tapeworm Egg Found In Brain: मेडिकल विश्वातील अनेक अजब घटना नेहमीच समोर येत असतात. अशीच एक घटना अमेरिकेतून समोर आली आहे. 52 वर्षीय एका व्यक्तीला पुन्हा पुन्हा मायग्रेनची समस्या होत होती. ज्यासाठी तो नेहमीच डॉक्टरांकडे जात होता. पण नंतर औषधांनीही काम करणं बंद केलं. त्यानंतर असा रिपोर्ट समोर आला जो हैराण करणारा होता.
मेंदुमध्ये सापडली टेपवर्मची अंडे
बीबीसीच्या रिपोर्टनुसार, स्कॅनमधून समोर आलं की, पीडित व्यक्तीच्या मेंदुमध्ये टेपवर्मचा लार्वल सिस्ट आहे जो सिस्टिसिरोसिस (Cysticercosis) आजाराचं कारण ठरला. डॉक्टरांचं मत आहे की, ही समस्या चांगल्या पद्धतीने हात न धुण्यासंबंधी आहे आणि अशीही शक्यता आहे की, रूग्णाने अर्धा शिजलेला बेकन खाल्ला होता. जो इन्फेक्शनचं कारण आहे.
काय आहे सिस्टिसिरोसिस?
सिस्टिसिरोसिस एक प्रकारचं इन्फेक्शन आहे जे पॅरासाइट टेनिया सोलियम (Taenia Solium) च्या लार्वामुळे होतं. ज्याला पोर्क टॅपवार्म (Pork Tapeworm) असंही म्हटलं जातं. ज्यामुळे मेंदुमध्ये सिस्ट विकसित होऊ शकतं. टॅपवार्म असलेली कोणतीही व्यक्ती स्वत:ला टॅपवार्म अंड्यांनी संक्रमित करू शकते. ही एक प्रक्रिया ऑटोइन्फेक्शन (Autoinfection) म्हणून ओळखली जाते. जी शरीरातून वेस्टच्या रूपात बाहेर निघू शकते आणि त्याच घरातील इतरांना संक्रमित करू शकते.
अमेरिकन जर्नल ऑफ केस रिपोर्ट्समध्ये या केसबाबत डॉक्टरांनी लिहिलं की, केवळ अंदाज लावला जाऊ शकतो, व्यक्तीच्या सिस्टिसिरोसिसला योग्यपणे हात न धुतल्यानंतर ऑटोइन्फेक्शनच्या माध्यमातून ट्रांसमिट केलं गेलं होतं. या केसबाबत सांगायचं तर 52 वर्षीय रूग्णाच्या डॉक्टरांना वाटतं की, इटिंग हॅबिट्स यासाठी जबाबदार आहे. रूग्णाने अॅंटी-पॅरासायटिक आणि अॅंटी इंफ्लेमेंट्री मेडिकेशनला रिस्पॉन्ड केलं आणि तो पूर्णपणे बरा झाला.
हात चांगले धुवा
यूएस सेंटर फॉर डिजीज कंट्रोल अॅंड प्रिवेंशन (CDC) नुसार, टेपवर्मचा लार्वा मसल्स आणि मेंदुसारख्या टिश्यूजमध्ये मिळतो आणि अल्सर तयार करतो. जेव्हा मेंदुमध्ये अल्सर तयार होतात तेव्हा या कंडीशनला न्यूरोकाइस्टिसरोसिस (Neurocysticercosis) म्हटलं जातं. अशात हात चांगले धुणं फार महत्वाचं आहे.