सहा महिन्यांपासून खोकला, तिला वाटलं टीबी झाला; फुफ्फुसात कंडोम सापडला
By ऑनलाइन लोकमत | Updated: March 24, 2021 21:44 IST2021-03-24T21:40:50+5:302021-03-24T21:44:45+5:30
क्षयरोग झाल्याच्या भीतीनं महिलेनं केली वैद्यकीय तपासणी; समोर आली धक्कादायक बाब

क्षयरोगाचा थेट परिणाम फुफ्फुसावर होतो. मात्र क्षयरोग बळावल्यास त्याचा परिणाम मेंदू आणि पाठीच्या कण्यावरदेखील होतो. पूर्वी क्षयरोग दुर्धर आजार मानला जायचा. मात्र आता यावर औषधोपचार उपलब्ध आहेत.

क्षयरोगावर उपचार नसल्यानं पूर्वी लाखो लोकांचे बळी गेले. मात्र आता क्षयरोगावर उपचार आहेत. त्यामुळे क्षयरोग जीवघेणा राहिलेला नाही. बराच कालावधीपासून सुरू असलेला खोकला क्षयरोग असू शकतो.

एका महिलेला ६ महिन्यांपासून खोकला सुरू होता. यासोबतच तिला कफचादेखील त्रास सुरू झाला. त्यामुळे महिलेनं लगेच डॉक्टरांकडे धाव घेतली.

आपल्याला क्षयरोग झाला असावी अशी भीती महिलेच्या मनात होती. पण डॉक्टरांनी तिला तपासल्यानंतर तसं काही आढळून आलं नाही. मात्र पुढे जो प्रकार घडला, तो धक्कादायक होता.

सहा महिन्यांपासून खोकला सुरू असल्यानं २७ वर्षीय शिक्षिका डॉक्टरकडे गेली. तिला खोकल्यावरील औषधं देण्यात आली. मात्र कोणताही उपयोग झाला नाही.

खोकला न थांबल्यानं महिला रुग्णालयात पोहोचली. तिथे तिनं क्षयरोगाच्या चाचण्या केल्या. पण त्या निगेटिव्ह आल्या.

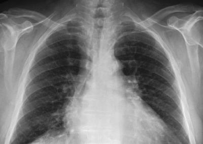
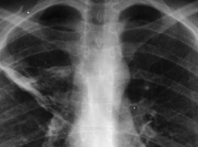
यानंतर डॉक्टरांनी महिलेच्या छातीचा एक्स-रे काढला. त्यात तिच्या फुफ्फुसाच्या उजव्या बाजूला प्लास्टिकसारखी वस्तू आढळून आली. ही वस्तू गोल आकाराची होती.

डॉक्टरांनी शस्त्रक्रिया करून ही वस्तू बाहेर काढली. तो एक कंडोम असल्याचं डॉक्टरांच्या लक्षात आलं. याबद्दल डॉक्टरांनी महिला आणि तिच्या पतीकडे विचारणा केली.

काही महिन्यांपूर्वी शरीरसंबंधांवेळी महिलेनं कंडोम गिळल्याचं डॉक्टरांच्या लक्षात आलं. शरीरसंबंधांवेळी कंडोम सैल झाला होता. त्याचवेळी तो महिलेच्या तोंडात गेला असावा. कारण तेव्हापासून तिला खोकला सुरू झाला, असं पतीनं डॉक्टरांनी सांगितलं.

महिलेनं चुकून कंडोम गिळाला असावा किंवा ही गोष्ट डॉक्टरांना सांगणं तिला ठीक वाटलं नसावं, असा अंदाज डॉक्टरांनी वर्तवला.

















