८ तासाच्या शस्त्रक्रियेनंतर हृदयातून काढली गाठ
By लोकमत न्यूज नेटवर्क | Updated: February 9, 2022 08:30 IST2022-02-09T08:30:00+5:302022-02-09T08:30:03+5:30
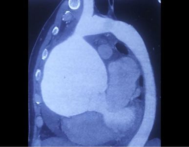
Nagpur News सलग ८ तासाच्या शस्त्रक्रियेनंतर एका ३५ वर्षीय व्यक्तीच्या हृदयातून १२.७५ से.मी. आकाराची गाठ काढून शहरातील डॉक्टरांनी या रुग्णाला नवे जीवन दिले.

८ तासाच्या शस्त्रक्रियेनंतर हृदयातून काढली गाठ
स्नेहलता श्रीवास्तव
नागपूर : सलग ८ तासाच्या शस्त्रक्रियेनंतर एका ३५ वर्षीय व्यक्तीच्या हृदयातून १२.७५ से.मी. आकाराची गाठ काढून शहरातील डॉक्टरांनी या रुग्णाला नवे जीवन दिले. मंगळवारी झालेल्या या जोखमीच्या शस्त्रक्रियेमुळे केवळ वैद्यकीय क्षेत्राचेच नव्हे, तर नागपूरचेही नाव उंचावले.
मध्य प्रदेशातील सौंसर येथील ३५ वर्षीय रुग्णाच्या हृदयात गाठ असल्याने त्याला नीट श्वास घेता येत नव्हते. झोपताही येत नव्हते. अत्यंत गंभीर स्थितीत हा रुग्ण कार्डियो वस्कूलर सर्जन डॉ. सौरभ वार्षणे यांच्याकडे दाखल झाला. अशा स्थितीत तो आतापर्यंत कसा जिवंत राहिला, याचेच डॉक्टरांना आश्चर्य वाटले. रुग्णाच्या या आजाराला वैद्यकीय भाषेत ‘एनयुरिज्म’ म्हटले जाते. या रुग्णावर ‘बेंटल सर्जरी’ करण्यात आली.
जगाच्या इतिहासात आतापर्यंत सर्वात मोठी १४ से.मी. गाठ काढल्याची नोंद आहे. मंगळवारी शहरात झालेली ही शस्त्रक्रिया अलीकडच्या काळात सर्वात मोठी शस्त्रक्रिया आहे. याला ज्येष्ठ हृदयरोग शल्यचिकित्सक डॉ. पी. के. देशपांडे यांनीही दुजोरा दिला. ही शस्त्रक्रिया डॉ. वार्षणे यांच्या नेतृत्वात, बधिरीकरण तज्ज्ञ डॉ. श्रीकांत बोबडे, हृदयविकार तज्ज्ञ गिरीश गौतम, डॉ. दर्शनी सोनी, परिचारिका राणी शेख व ब्रदर जफ्फार खान आदींनी यशस्वी केली.