शहरं
Join us  
Trending Stories
1
विधान परिषदेच्या ९ जागांसाठी निवडणूक जाहीर; १२ मे रोजी मतदान, महायुती वरचढ ठरणार
2
Latest Marathi News LIVE Updates: लोकसभेत सीमांकन विधेयकावर चर्चा सुरू, उद्या दुपारी ४ वाजता मतदान
3
परतवाडा व्हिडीओकांड ते बंगालमधील फसवणूक! अयान तनवीर आणि आनंदचे अनेक महिलांशी संबंध; धक्कादायक खुलासा
4
हाफिज सईदच्या खास माणसावर बेछुट गोळीबार; लष्करचा संस्थापक अमीर हमजा मृत्यूच्या दारात
5
“भारताच्या अर्ध्या लोकसंख्येत मुस्लिम महिलांचा समावेश होत नाही का?”; अखिलेश यादवांचा सवाल
6
टी लव्हर्ससाठी धोक्याची घंटा! चहा पिण्यापूर्वी की नंतर... कधी पाणी पिणं ठरेल आरोग्यासाठी घातक?
7
जगातील फक्त १६ देशांमध्ये महिला राष्ट्राध्यक्षा; जागतिक राजकारणात किती आहे भागीदारी?
8
PPF मध्ये ₹१२,००० ची बचत तुम्हाला बनवू शकते कोट्यधीश, मिळणार हमखास परतावा; आणखी कोणते आहेत फायदे?
9
चैत्र अमावस्या २०२६: चैत्र अमावास्येला दुपारी १२ नंतर 'या' ७ राशींना सतर्कतेचा इशारा; पण का? वाचा!
10
"मी वैतागलो होतो, म्हणून आईला मारून टाकलं" मुलाचं ऐकून पोलिसांच्या पायाखालची जमीनच सरकली!
11
तुमची एक चूक आणि FASTag होईल ब्लॅकलिस्ट; पटापट करा 'हे' काम; NHAI चे बँकांना महत्त्वाचे निर्देश
12
महागाई ३८ महिन्यांच्या उच्चांकावर! पश्चिम आशियातील युद्धाचा थेट परिणाम भारतीय नागरिकांवर
13
'दबंग मॅम' निदा खान ऑफिसमध्ये सर्वांना बुरखा घालायला शिकवायची; काय होता HR हेडचा प्लॅन?
14
“भारताशी आमचे संबंध ५ हजार वर्ष जुने, युद्धानंतर आणखी मजबूत होणार”; इराणचे नेते थेट बोलले
15
होर्मुझपेक्षाही मोठा जलमार्ग ब्लॉक करण्याच्या तयारीत चीन; सॅटेलाइट इमेजनं खुलासा, तणाव वाढणार
16
Ashok Kharat : 'अंक' गणितच भोंदू अशोक खरातच्या अंगलट; शुभांक ९ मानून मोटारींसाठी निवडायचा क्रमांक
17
"त्यांनी भोंदूबाबाचा सगळा प्रकार संवेदनशीलतेने हाताळला..."; प्राजक्ता माळीने मुख्यमंत्री देवेंद्र फडणवीस यांचं केलं कौतुक
18
Rasikh Salam Dar: वय लपवलं, BCCI कडून २ वर्षांची बंदी; शिक्षकाचा मुलगा RCB साठी कसा बनला ‘कमबॅक किंग’?
19
इराणमध्ये पहिल्यांदाच महिलेला फाशीची शिक्षा; कोण आहे Bita Hemmati? तिच्यावर नेमका आरोप काय?
20
३ बायका, ५३ बँक खाती, ५ कोटींचा घोटाळा... सरकारी तिजोरीवर डल्ला मारणारा करोडपती शिपाई
Daily Top 2Weekly Top 5

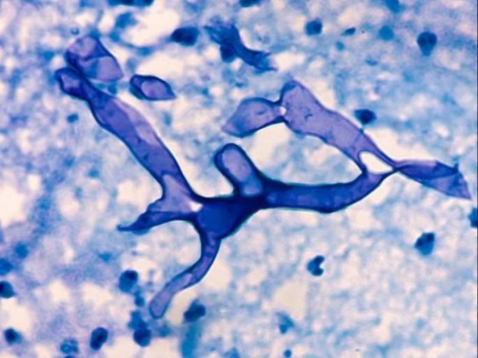
mucomycosis; ऑक्सिजनचे पाणी वारंवार बदलतानाही म्युकरमायकोसिसचा धोका

By लोकमत न्यूज नेटवर्क | Updated: May 18, 2021 07:40 IST

Nagpur News mucomycosis रुग्णाची प्रतिकारशक्ती, मधुमेह, स्टिरॉईडचा वापर, रुग्ण व रुग्णालयाची स्वच्छता आणि ऑक्सिजनसाठी वापरले जाणार ट्यूब, व्हेंटिलेटर आदी म्युकरमायकोसिसमध्ये महत्त्वाची भूमिका बजावतात. ऑक्सिजन ट्यूब स्वच्छ नसल्याने आणि ‘ह्युमिडिफायर’चे पाणी खराब असल्याने याचा धोका वाढतो.

ठळक मुद्देकमकुवत प्रतिकारशक्ती, स्टिरॉइडच्या अत्याधिक वापरामुळे काळ्या बुरशीचा संसर्ग

मेहा शर्मा

लोकमत न्यूज नेटवर्क 

नागपूर : पाच दिवसांपेक्षा अधिक ऑक्सिजनवर असलेल्या रुग्णांना म्युकरमायकोसिस होत असल्याचा ब्रिटनचा राष्ट्रीय आरोग्य सेवा समूहाचा संदेश मागील काही दिवसांपासून व्हॉट्सअ‍ॅपवर फिरत आहे. यात म्हटले आहे की, काही रुग्णालयांमध्ये निकृष्ट दर्जाचे पाणी पाईपयुक्त ऑक्सिजनहायड्रेट करण्यासाठी वापरले जाते. यामुळे म्युकरमायकोसिस नाकातून सायनसपर्यंत जाते. याबाबत ‘लोकमत’ने शहरातील डॉक्टरांशी संवाद साधला असात, हा आजार होण्याचे हे एक कारण ठरू शकते असा सूर तज्ज्ञांचा होता.

वरिष्ठ श्वसनरोग तज्ज्ञ डॉ. अशोक अरबट म्हणाले की, म्युकरमायकोसिस होण्याच्या अनेक कारणांपैकी हे एक कारण आहे. म्युकरमायकोसिस हा आजार विशेषत: ज्या रुग्णांना ‘इम्युनोकॉम्प्रोमाइज्ड’ आहे. म्हणजे, मधुमेह, फुफ्फुसाचा कर्करोग किंवा एड्स आहे त्यांना अधिक प्रमाणात दिसून येत आहे. हा आजार टाळण्यासाठी रुग्णालयांमध्ये स्वच्छता असणे अत्यंत आवश्यक आहे. म्युकरमायकोसिसचे दोन प्रकार आहेत. एक नाकातून डोळे व कानापर्यंत पोहचते तर दुसरा थेट फुफ्फुसात जातो.

लता मंगेशकर हॉस्पिटलचे ईएनटी सर्जन डॉ. नितीन देवस्थळे म्हणाले, कोरोनाच्या रुग्णाला मधुमेह असणे व कोरोनाच्या उपचारात अधिक कालावधीत व अधिक मात्रेत दिलेले स्टिरॉईडमुळे म्युकरमायकोसिस होऊ शकतो. या बुरशीला ओलसर जागा आवडते. रुग्णाच्या ‘ह्युमिडिफायर’द्वारे रुग्णांना ऑक्सिजन दिले जाते. यामध्ये वापरलेले पाणी वारंवार बदलावे लागते. दूषित पाण्यातून ही काळी बुरशी शरीराच्या आत जाऊ शकते. जे रुग्ण ऑक्सिजनवर नाहीत. त्यांनाही हा आजार होऊ शकतो. नाक वाहणे, नाकातून काळे पाणी वाहणे, डोळ्यातून पाणी येणे, चेहरा दुखणे, दात हलणे आदी लक्षणे दिसून येतात. कोविडमधून बरे झालेल्या रुग्णांनी ही लक्षणे दिसताच डॉक्टरांचा सल्ला घ्यायला हवा.

ज्येष्ठ चिकित्सक डॉ. पिनांक दंदे म्हणाले, रुग्णाची प्रतिकारशक्ती, मधुमेह, स्टिरॉईडचा वापर, रुग्ण व रुग्णालयाची स्वच्छता आणि ऑक्सिजनसाठी वापरले जाणार ट्यूब, व्हेंटिलेटर आदी म्युकरमायकोसिसमध्ये महत्त्वाची भूमिका बजावतात. ऑक्सिजन ट्यूब स्वच्छ नसल्याने आणि ‘ह्युमिडिफायर’चे पाणी खराब असल्याने याचा धोका वाढतो. या आजारात ताप, डोकेदुखी, वेदना, त्वचेची जळजळ आदी गंभीर लक्षणे आहेत.

टॅग्स :Mucormycosisम्युकोरमायकोसिस